San Dimas and Diamond Bar CA (California) Robin F. Abari Orthodontist


blog facebook twitter youtube
 

Early Intervention

Many developing orthodontic problems can be intercepted and corrected if diagnosed and treated at an early age. Abari Orthodontics strongly recommends children have their first orthodontic evaluation at age 7, or younger if the front four permanent teeth have replaced the baby teeth.

An easy examination will determine if the child’s dental and skeletal growth is proceeding properly or if interceptive treatment is advised. Many times the developing problem can be corrected using sophisticated removable appliances instead of traditional braces.

Benefits of Early Orthodontic Treatment
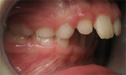
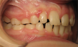
Class III Skeletal Malocclusion Correction with Frankel Appliance

Before

In-Progress


Frankel II appliance

Before Frankel II appliance

After Frankel II Appliance

MOVEMENT ACHIEVED IN JUST 9 MONTHS!



Drs. Robin F. Abari & Lawrence Will: Your Local Orthodontists Serving San Dimas & Diamond Bar, CA
SAN DIMAS: 1111 W. Covina Blvd, Suite 230, San Dimas, CA 91773
DIAMOND BAR: 2040 S. Brea Canyon Rd., Ste. 200, Diamond Bar, CA 91765
Ph: 909-396-9000 | Fax: 909-305-0840

Web Site by Sesame Design™

 
Home